肾纤维化是慢性肾病(CKD)的病理标志,以细胞外基质(ECM)过度沉积为特征,最终导致肾脏结构和功能的不可逆衰退。其中,TGF-β信号作为核心调控因子,通过激活肌成纤维细胞、诱导上皮-间质转化以及经典型SMAD依赖性通路促进胶原合成。此外,肝脏作为关键内分泌器官,其分泌的肝因子(hepatokines)可调控远端的全身生理与病理状态。临床与实验证据均表明肝脏与肾脏病理之间存在功能交互:急性肝损伤或晚期肝硬化常会诱发肾功能损害,胆管结扎模型也证实肝损伤可导致肾脏损伤,提示存在"肝-肾轴"调控机制。然而,肾纤维化中介导肝-肾对话的分子介质仍未得到充分阐明,鉴定这些肝因子及其作用机制,有望为阻断纤维化信号网络揭示全新的治疗策略。
26年1月,中国药科大学刘群/齐炼文团队在Nat Commun(IF 15.7)发表了题为“Hepatokine fibrinogen-like protein 1 drives liver-kidney crosstalk to promote renal fibrosis”的研究论文,文章结合转录组分析、蛋白组分析、功能遗传学和药物干预,系统揭示了肾纤维化进程中肝-肾对话的关键内分泌介质、潜在分子机制及候选药物。研究的发现将FGL1定位为肝-肾信号交互的核心调控因子与极具前景的治疗靶点,为阐明全身性介质与局部纤维化通路之间的关联填补了关键空白。
北京青莲百奥生物科技有限公司为文章提供了蛋白质组学服务。

研究结果
一、整合转录组和临床相关分析确认FGL1是肝肾通讯的关键介质
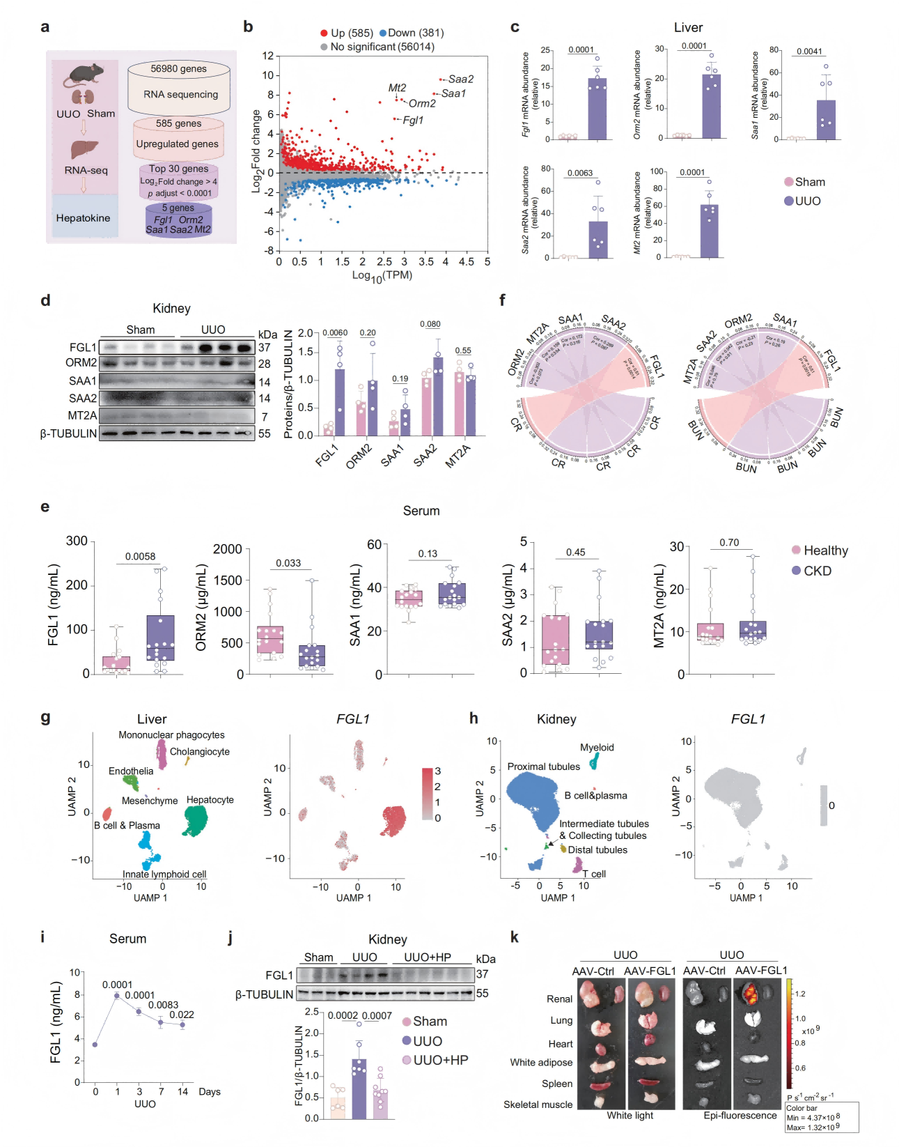
为了鉴定介导肝-肾对话的内分泌因子,研究首先建立单侧输尿管梗阻(unilateral ureteral obstruction,UUO)肾纤维化小鼠模型并进行RNA测序,其中的上调肝因子包括Fgl1、Orm2、Mt2、Saa1和Saa2,qPCR实验也验证了这一结果。为筛选可能易位至肾脏的肝因子,研究表征了这些分子在UUO小鼠肾脏中的表达,其中仅检测到FGL1蛋白水平显著升高。
随后,文章收集了CKD患者(n=18)和健康对照者(n=18)的血清样本进一步评估临床相关性,发现CKD患者血清中FGL1蛋白水平显著升高,且与肾损伤标志物(血尿素氮和肌酐)呈正相关。研究还基于单细胞转录组数据集证实FGL1特异性表达于肝细胞,在肾脏细胞中几乎检测不到。血液灌流实验也表明,清除血液后肾组织中FGL1水平显著降低,这直接将循环FGL1与肾脏沉积联系起来。生物发光成像则证实了在肝细胞特异性过表达FGL1的UUO小鼠中,仅在损伤肾脏中检测到FGL1富集,而其他器官中均未观察到信号。这些发现将FGL1确定为介导肝-肾通讯的关键候选因子。

图1. 肝因子FGL1在肾纤维化中显著上调
二、功能获得/缺失实验证实,肝脏来源的FGL1是驱动肾纤维化的关键因子
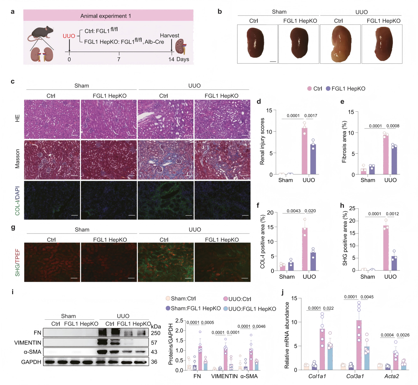
为了进一步挖掘FGL1在肝-肾对话中的作用,研究对雄性小鼠UUO模型进行肝细胞特异性敲除FGL1,结果显示敲除改善了小鼠的肾形态学损伤并减少了胶原沉积。免疫学实验也证实,FGL1敲除抑制了细胞外基质沉积标志物FN、上皮-间质转化标志物VIMENTIN以及纤维化因子的表达。

图2. 肝细胞特异性敲除FGL1可减轻UUO诱导的小鼠肾纤维化
随后,文章通过肝细胞AAV8-TBG-FGL1过表达进行了功能获得研究。在UUO模型小鼠中,肝脏FGL1过表达加剧了肾小管扩张和胶原沉积,免疫组化、免疫荧光检测显示COL-I和α-SMA水平同步升高,说明FGL1过表达进一步上调了肾脏中纤维化相关蛋白及基因的表达。此外通过富含重组FGL1的条件培养HK-2细胞可发现,TGF-β诱导的FN、VIMENTIN和PAI-1上调进一步增强,α-SMA水平也升高,说明重组人FGL1蛋白在TGF-β刺激存在下也产生了类似效应。
综上所述,肝细胞特异性敲除FGL1改善了肾脏形态、减弱胶原沉积,并抑制了UUO小鼠模型中的纤维化标志物。相反,FGL1过度表达加重了肾纤维化。

图3. 肝细胞特异性FGL1过度表达加剧小鼠UUO诱导的肾纤维化
三、FGL1与ALK5相互作用并阻止其泛素化
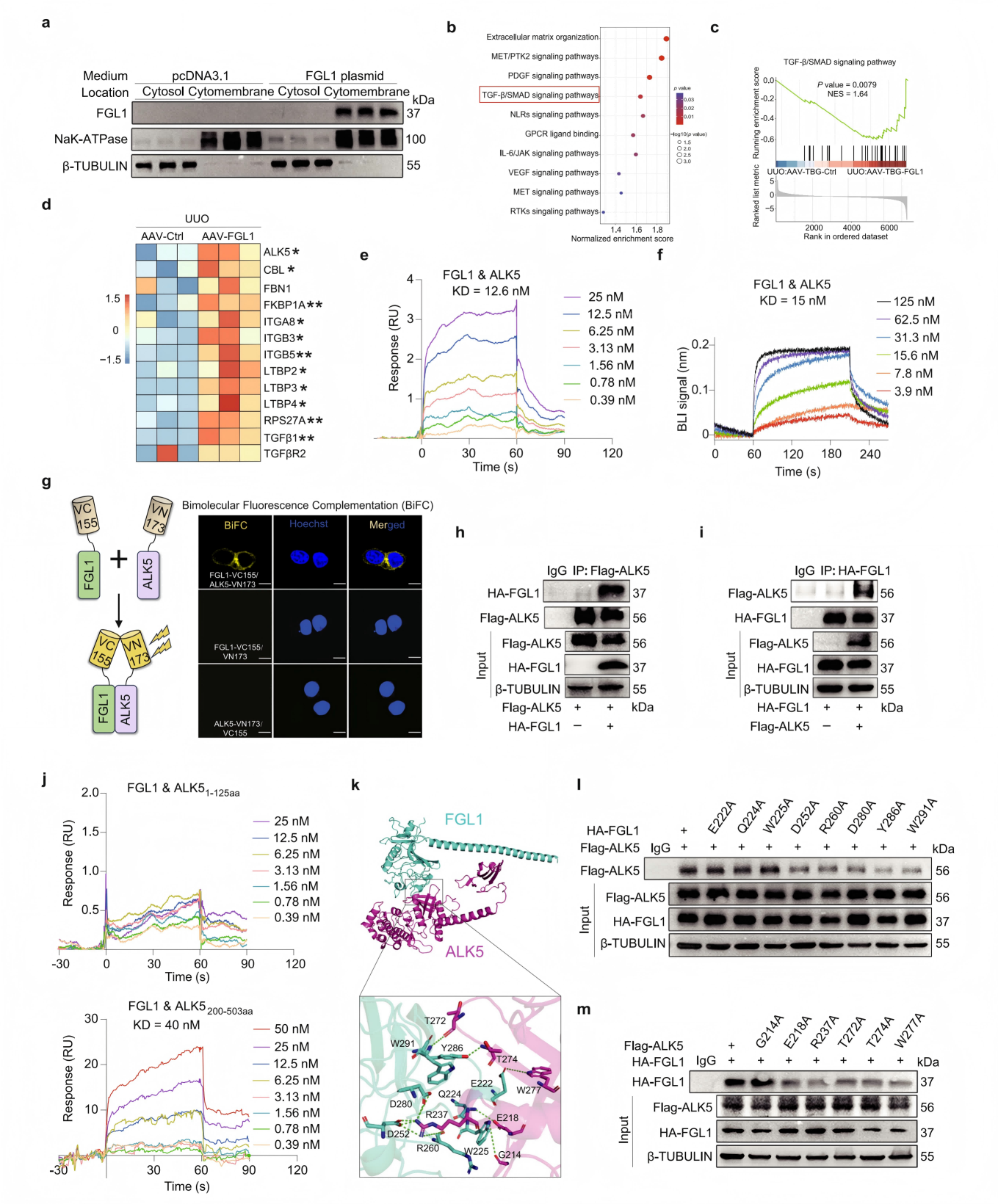
接下来,文章通过蛋白质组学分析发现,在FGL1过表达后的肾脏中,TGF-β/SMAD信号通路是富集最显著的生物学过程,基于组学数据和表面等离子共振结果,发现FGL1选择性结合ALK5,且拥有较强的亲和力。生物膜干涉技术、双分子荧光互补实验以及反向免疫共沉淀也都证实了这一点。

图4. ALK5为肾脏中FGL1的结合受体
随后结果显示,ALK5的蛋白水平也受到FGL1的调控,FGL1过表达提高了ALK5的蛋白水平,而对ALK5特异性抑制处理可阻断FGL1诱导的促纤维化效应。通过ALK5泛素化的免疫沉淀分析发现,FGL1过表达降低了ALK5的泛素化水平,外源FGL1预处理也具有类似的效果。此外SMAD7是TGF-β通路的已知负调控因子,通过竞争性结合ALK5来促进受体的泛素化。WB结果也显示,FGL1以剂量依赖的方式抵消了SMAD7介导的ALK5降解。
接下来,文章基于数据库筛选和qPCR验证,确定了调控FGL1的转录因子STAT3,其启动子活性呈剂量依赖性增强。炎症反应是UUO小鼠肝脏中富集最显著的生物学过程之一,ELISA检测显示,血清中IL-6、IL-1β和TNF-α等炎性细胞因子显著升高并与循环FGL1蛋白水平呈正相关。细胞实验表明,单独使用IL-6、IL-1β和TNF-α处理可上调STAT3磷酸化和FGL1蛋白水平,而STAT3抑制剂能消除炎性细胞因子诱导的FGL1产生。上述研究结果证实了STAT3在FGL1调控中的关键作用。

图5. FGL1特异性地与ALK5相互作用并增强ALK5蛋白的稳定性
四、高通量筛选识别具有肾纤维化治疗潜力的FGL1抑制剂
基于抑制FGL1在肾纤维化治疗中的潜在价值,研究通过荧光素酶报告基因的高通量筛选,以寻找FGL1抑制剂。根据化合物抑制FGL1启动子活性超过2倍的能力,并排除了在细胞中具有不良ADMET特性(absorption, distribution, metabolism, excretion, and toxicity)或细胞毒性的化合物,最终获得10个候选物。其中,对羟基苯甲醛(p-hydroxybenzaldehyde,PHBA)表现出最强的降低FGL1 mRNA和蛋白水平的能力。PHBA呈剂量依赖性地抑制FGL1启动子活性和FGL1蛋白表达,且无肝细胞毒性。在UUO小鼠中,口服PHBA能有效降低肝脏Fgl1 mRNA水平以及血清中FGL1蛋白水平。因此,PHBA减轻了肾纤维化表型,并显著抑制了纤维化相关蛋白和基因的表达。

图6. 筛选并验证对羟基苯甲醛作为肝细胞FGL1转录下调因子的作用
同时,研究还评估了一种针对FGL1的单克隆抗体(anti-FGL1 mAb)的治疗效果。在UUO小鼠模型中腹腔注射抗FGL1单抗后,血清FGL1水平降低,肾损伤及胶原沉积得到缓解,这一结果通过形态学观察、HE和Masson染色均得以证实。抗FGL1单抗还抑制了肾脏中纤维化相关蛋白和基因的表达。这些发现确立了FGL1作为致病性肝肾交叉反应的关键介质,并强调了针对肾纤维化中器官-器官网络的治疗策略。
图7. 针对FGL1的中和抗体可缓解小鼠UUO诱导的肾纤维化
文章结论
本研究揭示了FGL1作为关键肝因子,在肾纤维化中介导了致病的肝-肾对话。肾损伤会引发全身性炎症反应,激活STAT3信号通路,进而在转录水平上调肝脏中FGL1的表达。值得注意的是,FGL1会选择性地在纤维化肾脏中积累,并通过与ALK5结合,阻断其泛素化降解,从而稳定并增强TGF-β信号的传导。通过小分子抑制剂或抗FGL1单克隆抗体靶向FGL1,以破坏这种器官间网络,可能为慢性肾病的治疗带来新的方向。

参考文献
Wu WH, Zhu LZ, Liu K, Cao L, Fan YM, Zhou P, Zhang Y, Ma G, Liu JF, Liu BL, Qi LW, Liu Q. Hepatokine fibrinogen-like protein 1 drives liver-kidney crosstalk to promote renal fibrosis. Nat Commun. 2026 Jan 9;17(1):1453.
青莲百奥合作文章
青莲百奥深度参与众多前沿研究,与中国医学科学院、中国科学院、军事医学研究院、国家蛋白质科学中心、四川大学华西医院等顶尖科研机构通力合作,累计发表SCI论文近200篇,累计影响因子(IF)超1500。多项重磅研究成果发表于《Nature》《Science Translational Medicine》《Nature Communications》等国际顶级期刊。
