非小细胞肺癌(NSCLC)细胞的积累和增殖高度依赖谷氨酰胺,阻断谷氨酰胺代谢有潜力成为治疗非小细胞肺癌的临床策略。其中ASCT2介导氨基酸底物的交换,并负责谷氨酰胺的转运,异常的ASCT2表达被认为与高度增殖的癌细胞有关,以满足增强的谷氨酰胺需求,且与侵袭性表型和不良预后相关,因此肿瘤中对ASCT2的成瘾成为致癌过程中的重要靶点。而棕榈酰化修饰被认为在多种代谢过程中起着关键作用,并与癌症中的膜定位、亚细胞运输和蛋白质降解等调控密切相关,但其在谷氨酰胺代谢中的作用仍不明确。
近日,宁波大学第一附属医院曹超副院长团队在Cell Discovery(IF 12.5)发表了题为“ASCT2 palmitoylation regulated by JNK1-ZDHHC14 axisorchestrates glutamine metabolism and NSCLC progression”的研究论文,该研究中作者基于非小细胞肺癌细胞系进行了蛋白质组学检测,以分析谷氨酰胺代谢调控因子的棕榈酰化。文章揭示了JNK介导的ASCT2棕榈酰化与谷氨酰胺代谢之间存在磷酸化-棕榈酰化轴,为非小细胞肺癌提供了潜在的治疗策略。
北京青莲百奥生物科技有限公司为文章提供了蛋白质组学服务。

研究结果
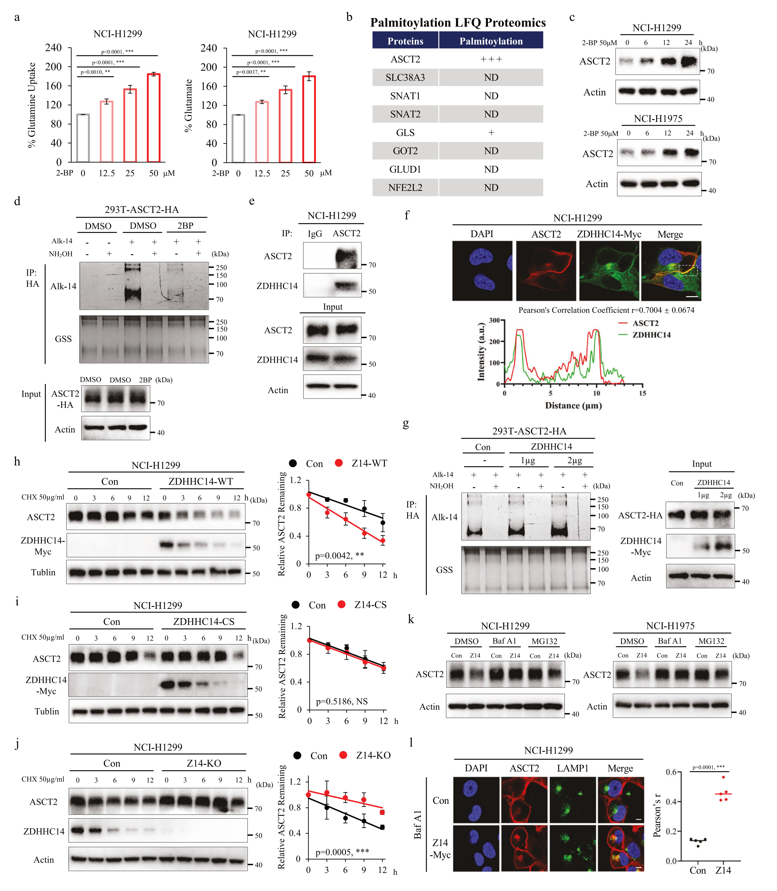
一、ZDHHC14促进ASCT2棕榈酰化和溶酶体降解
为了研究棕榈酰化调节谷氨酰胺代谢的多重调控机制,文章使用棕榈酰化抑制剂2-溴棕榈酰胺(2-BP)处理NSCLC细胞,发现其可显著增强了谷氨酰胺的摄取和谷氨酸产生,且具有剂量依赖性。随后的棕榈酰化蛋白质组学分析,发现ASCT2可能被棕榈酰化。进一步实验的结果证实,2-BP抑制的棕榈酰化以时间依赖性方式增加了ASCT2的蛋白表达但mRNA表达未增加,表明2-BP调控ASCT2在棕榈酰化水平的表达,修饰位点为半胱氨酸。这些发现表明ASCT2棕榈酰化会使NSCLC中的ASCT2蛋白不稳定。
图1. ZDHHC14促进ASCT2棕榈酰化和溶酶体降解
为了筛选负责ASCT2棕榈酰化的棕榈酰转移酶,研究转染了一系列编码ZDHHC家族成员的质粒,并通过免疫共沉淀(Co-IP)分析其与ASCT2的相互作用。结果锁定了ZDHHC14,且该蛋白以剂量依赖性的方式增强了棕榈酰化信号。为进一步确定ZDHHC14催化棕榈酰化对ASCT2的影响,通过分析野生型ZDHHC14、催化不活性ZDHHC14突变细胞或ZDHHC14敲除细胞中的ASCT2蛋白稳定性,发现ASCT2降解受ZDHHC14调控。因此,这些数据体现了ASCT2与ZDHHC14之间的酶-底物关系及棕榈酰化修饰的重要性。
接下来,研究使用溶酶体抑制剂BafA1和蛋白酶抑制剂MG132处理ZDHHC14过表达细胞,以确认ZDHHC14介导ASCT2降解机制。发现ZDHHC14介导的ASCT2降解被BafA1阻断,而MG132处理则不然,表明棕榈酰化介导的ASCT2降解主要由溶酶体降解途径调控。免疫荧光也显示ZDHHC14过表达促进了ASCT2细胞质定位,并增加了ASCT2与溶酶体膜蛋白LAMP1的共定位。
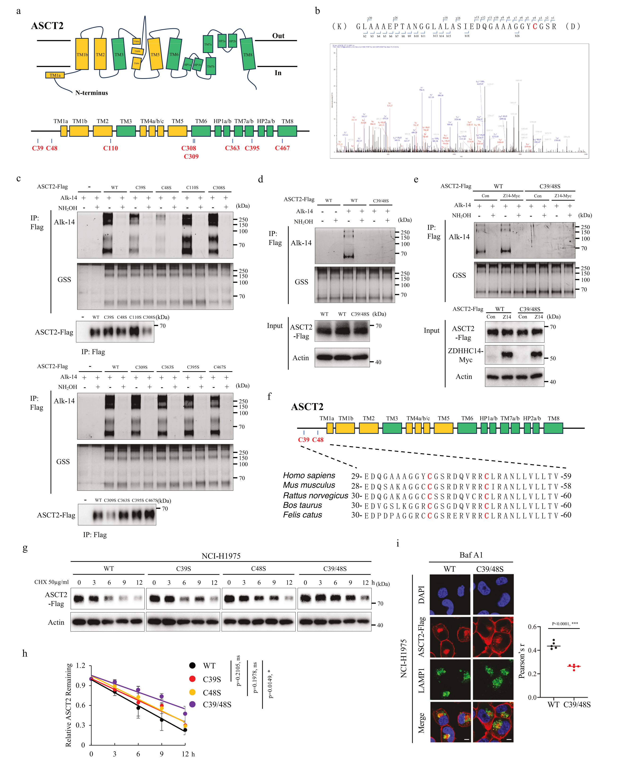
二、ASCT2在Cys39和Cys48位点被ZDHHC14棕榈酰化
文章基于LC-MS/MS研究结果,进一步通过氨基酸突变+点击化学实验测试棕榈酰化的半胱氨酸位点,得出ASCT2C39S以及ASCT2C48S突变体均显著减少了ASCT2棕榈酰化,表明这两个位点对ASCT2棕榈酰化至关重要。此外,外源性ZDHHC14表达能显著促进WT中ASCT2表达的棕榈酰化水平,但对ASCT2C39S/C48S突变体则无此作用,也说明了ZDHHC14特异性介导Cys39和Cys48位点的ASCT2棕榈酰化。
为了分析Cys39和Cys48位点对ASCT2降解的影响,研究用蛋白质合成抑制剂CHX分别处理表达野生型ASCT2以及单突变体、双突变体的细胞,发现与WT ASCT2相比,ASCT2棕榈酰化突变体细胞的半衰期显著延长,这与2-BP处理的效果相似。免疫荧光分析显示,ASCT2C39S/C48S突变体显著降低了其与LAMP1阳性溶酶体簇的共定。由此表明,ASCT2的Cys39和Cys48棕榈酰化位点主要参与其溶酶体介导的蛋白质降解过程。

图2. ASCT2棕榈酰化的Cys39和Cys48位点主要参与溶酶体介导的蛋白质降解
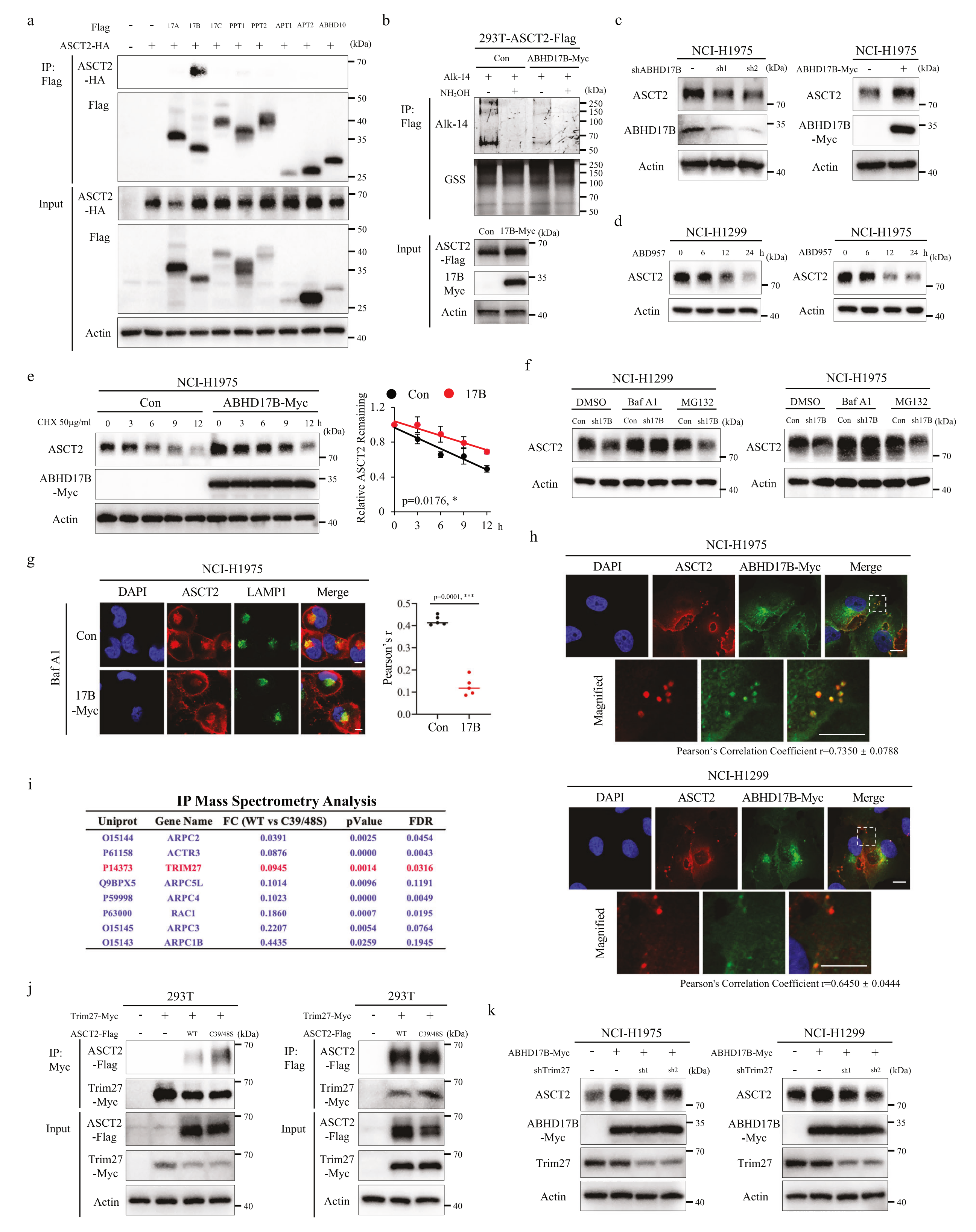
三、ABHD17B去棕榈酰化ASCT2并促进ASCT2稳定
为了鉴定ASCT2的潜在去棕榈酰化酶,文章过表达了一系列已知的去棕榈酰化酶,并通过免疫共沉淀实验进行检测,结果显示仅ABHD17B与ASCT2存在强相互作用,验证发现外源性ABHD17B的表达可显著降低ASCT2的棕榈酰化水平。随后文章构建了ABHD17B敲低和过表达的细胞系,发现敲低ABHD17B可导致ASCT2蛋白水平显著下调,而过表达则使其蛋白水平显著升高。使用ABHD17B的共价抑制剂ABD957处理细胞,可引起ASCT2蛋白水平呈时间依赖性下降。此外,外源性ABHD17B表达抑制了ASCT2的降解,从而有效促进其蛋白累积,而在敲低ABHD17B表达的细胞中,溶酶体抑制剂BafA1而非蛋白酶体抑制剂MG132处理阻断了ASCT2的降解。免疫荧光分析也表明,ABHD17B的表达降低了ASCT2与溶酶体的共定位。研究还发现ABHD17B与ASCT2并不在质膜上共定位。
为了深入探究ASCT2棕榈酰化状态改变的潜在机制,研究进行了免疫沉淀-质谱分析,通过IP-MS比较了ASCT2C39S/C48S突变体与野生型ASCT2的互作蛋白,结果中突变体结合增强的前八位候选蛋白均属于依赖逆运复合体(Retromer)的内体循环组分。其中TRIM27在非小细胞肺癌中显著高表达,且与患者不良生存密切相关,被选择作为研究对象以阐明ACT2棕榈酰化的调控机制。通过CoIP检测发现,ASCT2C39S/C48S突变体中,ASCT2与TRIM27的结合增强,而敲低TRIM27表达能显著降低了ABHD17B介导的ASCT2累积。综上所述,ABHD17B介导的ASCT2去棕榈酰化通过增强ASCT2依赖逆运复合体的内体循环过程发挥作用。

图3. ABHD17B去棕榈酰化ASCT2并促进ASCT2稳定
四、谷氨酰胺剥夺通过调控ZDHHC14稳定性抑制ASCT2棕榈酰化
先前研究表明,谷氨酰胺剥夺条件下ASCT2表达上调,但这一应激条件下棕榈酰化修饰对ASCT2稳定性的影响尚不明确。本文发现,在细胞中谷氨酰胺剥夺显著增加了ASCT2的蛋白水平,同时降低了ASCT2的棕榈酰化信号。而在ASCT2 C39S/C48S突变体细胞中,ASCT2的棕榈酰化水平无显著差异。为了进一步讨论谷氨酰胺剥夺在ASCT2棕榈酰化中的作用及机制,研究发现ZDHHC14的蛋白水平降低,同时ASCT2与ABHD17B的相互作用减弱,表明仅棕榈酰化的ASCT2能与ABHD17B结合,谷氨酰胺剥夺以时间依赖性方式促进ZDHHC14的降解。上述结果说明,谷氨酰胺剥夺通过降低ZDHHC14的稳定性,从而抑制ASCT2的棕榈酰化。
谷氨酰胺剥夺导致的营养胁迫会激活p38-MAPK、Akt-mTOR、ERK和JNK等信号通路,文章通过在谷氨酰胺剥夺条件下联合使用这些信号通路抑制剂,检测了ZDHHC14和ASCT2的蛋白水平。结果显示仅JNK抑制剂处理不仅提升了ZDHHC14的水平,还降低了ASCT2的水平。此外,JNK激动剂联合BafA1和MG132和卡非佐米可恢复ZDHHC14的水平,这表明JNK介导的ZDHHC14降解主要通过溶酶体降解途径调控,激动剂处理显著上调ASCT2水平,同时呈剂量依赖性地降低ZDHHC14水平。点击化学也表明JNK激动剂显著抑制ASCT2的棕榈酰化,而JNK抑制剂在谷氨酰胺剥夺条件下则显著增强ASCT2的棕榈酰化。因此,这些数据强调了JNK通路是谷氨酰胺剥夺条件下调控ZDHHC14介导的ASCT2棕榈酰化的主要信号通路。

图4. 谷氨酰胺剥夺通过JNK途径抑制ASCT2棕榈酰化
五、ZDHHC14在谷氨酰胺剥夺刺激下被JNK1磷酸化
接下来,研究探索了JNK调控ZDHHC14介导的ASCT2棕榈酰化的具体机制。首先CoIP分析检测了ZDHHC14与JNK各亚型之间的相互作用,结果显示仅JNK1能与ZDHHC14形成复合物。而将JNK1敲低表达,并在含或不含谷氨酰胺的培养基中培养发现,ZDHHC14的表达显著提升,同时抑制了ASCT2的水平。抑制JNK1磷酸化与激活在谷氨酰胺剥夺条件下也能引起ZDHHC14的积累,并降低了ASCT2的水平。
为了鉴定响应谷氨酰胺剥夺刺激而发生的ZDHHC14磷酸化位点,研究建通过LC-MS/MS分析发现了ZDHHC14的三个磷酸化位点:Thr124、Thr440和Ser455。点突变实验发现,仅ZDHHC14 T440A突变体在谷氨酰胺剥夺条件下能显著挽救ZDHHC14蛋白水平的下降,表明Thr440位点对ZDHHC14蛋白稳定性至关重要。而在谷氨酰胺剥夺条件下,ZDHHC14 T440A以时间依赖性方式延长了ZDHHC14蛋白的半衰期,而野生型能显著调控ZDHHC14和ASCT2的稳定性以及ZDHHC14的磷酸化,且这种调控效应能被JNK抑制剂强烈抑制。综上所述,谷氨酰胺剥夺时JNK1被激活,进而磷酸化ZDHHC14的Thr440残基,触发ZDHHC14降解,从而抑制ASCT2的棕榈酰化修饰,并最终导致ASCT2积累。

图5. JNK1介导的磷酸化通过触发ZDHHC14降解稳定ASCT2
六、ZDHHC14介导的ASCT2棕榈酰化调控谷氨酰胺代谢和肿瘤发生
文章进一步探索了ZDHHC14在谷氨酰胺代谢中扮演的角色,通过分析检测肿瘤细胞的体外增殖能力,发现ZDHHC14显著抑制了肿瘤细胞生长和集落形成,而将其催化失活的突变体仅产生轻微影响,在体内异种移植瘤实验也得到了类似结果。动物实验发现,与野生型相比,表达ASCT2 C39S/C48S突变体的细胞显示出显著增强的肿瘤生长能力,且ZDHHC14的表达仅在野生型ASCT2表达组中抑制了肿瘤生长,而在突变体表达组中无此抑制作用。
随后研究讨论了ZDHHC14与ASCT2的表达水平与临床数据集中患者的生存期存在相关性。与正常组织相比,NSCLC组织中ZDHHC14的mRNA水平显著降低,ZDHHC14低表达的NSCLC患者生存期更短,ASCT2的高表达与NSCLC密切相关并预示不良的总生存期,IHC染色也进一步证实ASCT2与ZDHHC14的表达呈负相关。因此,ASCT2的高表达与ZDHHC14的表达呈负相关,并对NSCLC的临床进展至关重要。

图6. ZDHHC14-ASCT2轴调控非小细胞肺癌中的谷氨酰胺代谢和肿瘤发生
七、靶向JNK通路可促进ASCT2抑制剂的抗癌效果
先前研究发现,使用V9302对ASCT2进行药理阻断可削弱癌细胞的生长与增殖。因此研究进一步讨论靶向JNK通路可能与抗ASCT2治疗产生协同增效作用。文章发现,JNK激动剂在内源性表达野生型ASCT2的细胞中显著促进了谷氨酰胺代谢,但在表达ASCT2 C39S/C48S突变体的细胞中无此效应,这进一步证实JNK1通过调控ASCT2棕榈酰化影响谷氨酰胺代谢。
为评估这些抑制剂在体内的抗肿瘤效果,研究动物实验,分别评估单独使用JNK-抑制剂、V9302以及两药联合治疗对肿瘤的疗效。结果发现JNK抑制剂与ASCT2抑制剂联合用药组的抗肿瘤效果优于任一单药治疗组,IHC染色分析也进一步证实了ASCT2、磷酸化JNK与ZDHHC14之间的强关联。说明靶向JNK与ASCT2的双重药物治疗在体内外均可协同抑制肿瘤发生,为非小细胞肺癌的临床治疗提供了一种合理的联合用药策略。

图7. ASCT2抑制剂与JNKi联合在NSCLC中的协同抗癌活性
文章结论
本文揭示了一种新的磷酸化-棕榈酰化级联反应,将营养感知与非小细胞肺癌中的谷氨酰胺运输联系起来。文章展示了JNK1介导的ZDHHC14磷酸化如何调控ASCT2棕榈酰化和稳定性,揭示了代谢适应机制。这些发现确立了棕榈酰化作为癌症代谢中的关键调控节点,并强调了JNK1-ZDHHC14-ASCT2轴作为潜在治疗靶点。
参考文献
Chen X, Ke Z, Wei S, Chen J, Zhu K, Xu J, Zhao Y, Cen M, Jin Y, Pan Z, Xiong J, Chen Y, Dong C, Cao Q, Cao C. ASCT2 palmitoylation regulated by JNK1-ZDHHC14 axis orchestrates glutamine metabolism and NSCLC progression. Cell Discov. 2026 Feb 24;12(1):13.
青莲百奥合作文章
青莲百奥深度参与众多前沿研究,与中国医学科学院、中国科学院、军事医学研究院、国家蛋白质科学中心、四川大学华西医院等顶尖科研机构通力合作,累计发表SCI论文近200篇,累计影响因子(IF)超1500。多项重磅研究成果发表于《Nature》《Science Translational Medicine》《Nature Communications》等国际顶级期刊。
